Caso Septiembre 2018

Presentado por:

 CASO STROKE MIMICS

Presentación clínica:

Mujer de 60 años, sin alergia medicamentosas conocidas. Fumadora.

Sin antecedentes patológicos de interés.

Presenta sobre las 14:15h dolor súbito intenso en el cuello,”como si me hubiese reventado algo” con posterior caída por debilidad de extremidades derechas.

Ante la sospecha de un ictus, se realiza TC basal de craneo + CT perfusión y AngioTC.

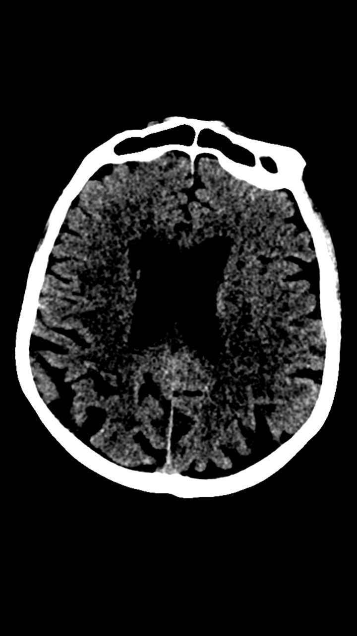
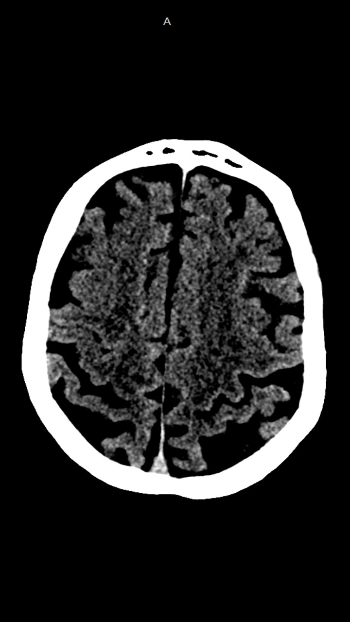
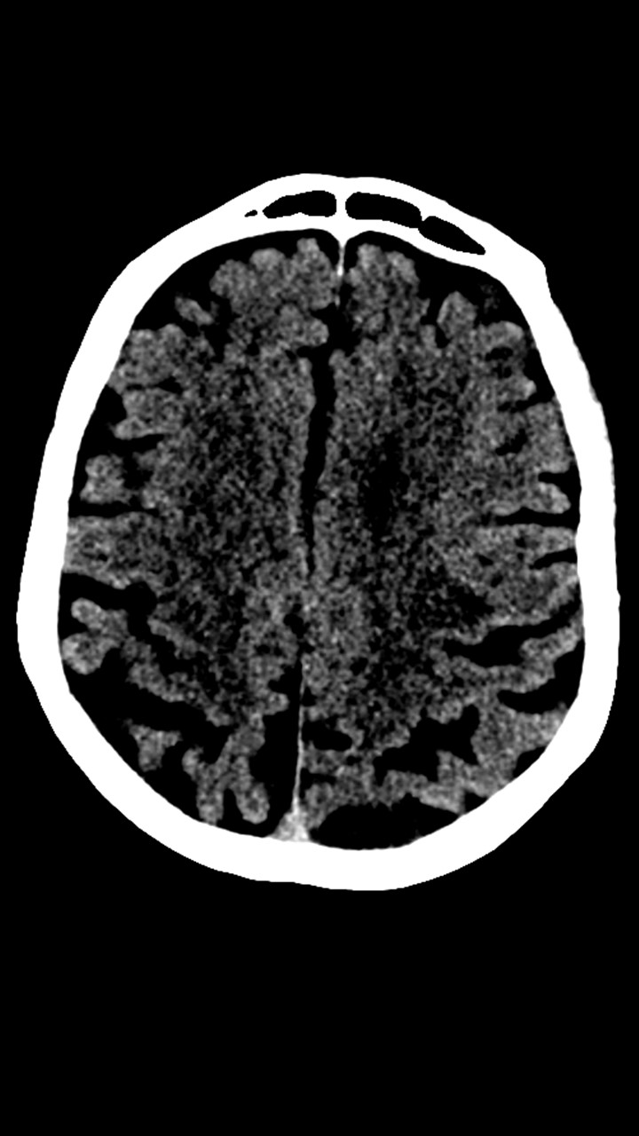
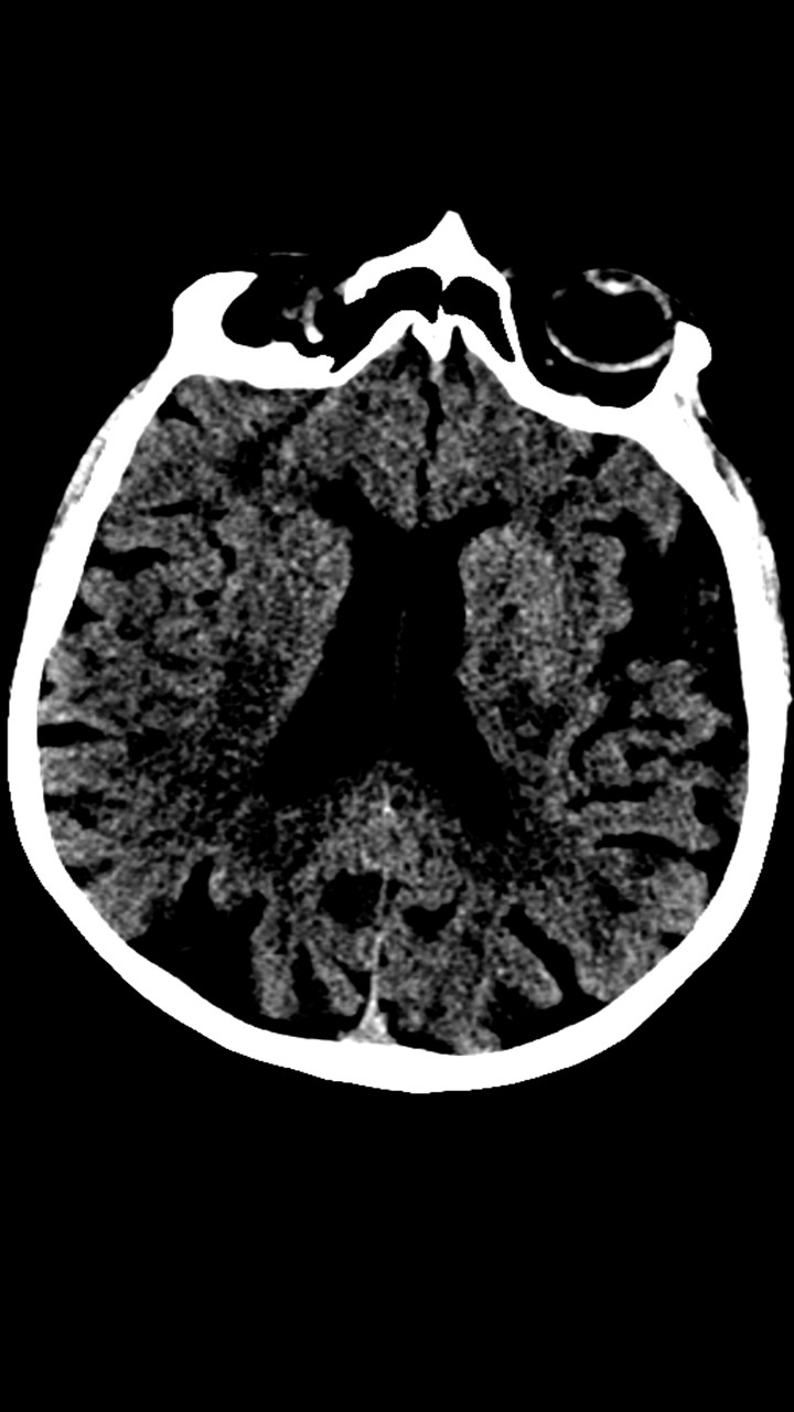
Hallazgos de TC de craneo:

  • Cambios de leucoaraiosis periventricular.
  • Hay zonas de hipodensidad subcortical fronto-parietal superior predominantemente izquierdas, de aspecto inespecíficos.
  • Los halazgos son inespecificos, ante la ausencia de patología hemorragica aguda se decide continuar con el protocolo habitual.
  • ANGIOTC REPORTE

El protocolo realizado permite identifica una disección aórtica de tipo A con origen del flap a nivel del anillo aórtico. Se aprecia disección a nivel de las válvas de la válvula aórtica.

La disección se extiende hasta la transicion aorta torácica- abdominal. Además se aprecia extensión a tronco braquiocefálico, carótida izda y subclavia izda. La disección condiciona una falta de repleción de la carótida derecha proximal en todas las fases estudiadas (arterial temprana y tardía).

La disección se extiende por ambas carótidas hasta tercio medio de la común derecha y carótida común pre-bifurcación izda. Carótidas externas e interna derecha permeables. La luz de la carótida interna izquierda se origina de la luz falsa y presenta una menor repleción de contraste en relación a la carótida contralateral.

Estenosis a nivel del origen de ambas vertebrales. El flap de disección de la subclavia izda se extiende distal al origen de la vertebral ipsilateral.

Vasos del polígono sin claros signos de oclusion. No se aprecian alteraciones de la densidad del parénquima cerebral. No se aprecian signos de sangrado. tamaño ventricular y cisternas de la base sin alteraciones.

El estudio de la perfusión cerebral pone de manifiesto.

Un extenso territorio de retraso en mapas de tiempo a nivel de la totalidad del territorio de ambas carótidas con relativa área respetada a nivel de la circulación posterior.

Los mapas de volumen presentan algunas zonas parcheadas de menor perfusión.

Dada la ausencia de patología isquemica intracraneal y los hallazgos visualizados por TC se decide reparación quirurgica.

  • El día 25.05.2016 se realiza reperación de disección de aor ta mediante sustitución de aorta ascendente y arco a nivel proximal a la salida de subclavia izquierda con tubo trifurcado de Dacron de 28mm. Anastomosis término-terminal de un injerto trifurcado de Dacron al tronco braquiocefálico (rama de 12 mm).
  • Tunelización y anastomosis término- ter minal de una rama de 8 mm del injerto a la carótida primitiva derecha. A nastomosis término terminal de una rama de 8 mm del injerto ala carótida primitiva izquierda.
  • Reparación de las capas de la aorta en el seno no coronario de Valsalva con Bioglue y anastomosis términoterminal del in jerto de 28 mm reforzado con tiras de teflón..

 

 

Referencias bibliográficas:

  • Stroke mimics and chameleons. Curr Opin Neurol. 2018 Sep 20. doi: 10.1097/WCO.0000000000000620.
  • Mimics and chameleons in stroke. Clin Med (Lond). 2017 Apr;17(2):156-160. doi: 10.7861/clinmedicine.17-2-156.
  • CT imaging of complications of aortic intramural hematoma: a pictorial essay. Diagn Interv Radiol. 2018 Nov;24(6):342-347. doi: 10.5152/dir.2018.17261.