Presentado por:
EMBOLIZACIÓN CON OLLA EXPRESS DE FÍSTULA DURAL TIPO IV ROTA
Presentación clínica:
Varón de 56 años con disminución brusca del nivel de consciencia. Puntuando 9 en la escala de Glasgow que disminuye de manera brusca al ingreso precisando intubación orotraqueal.
- Antecedentes personales de interés: No refiere
- Tratamiento habitual: Ninguno
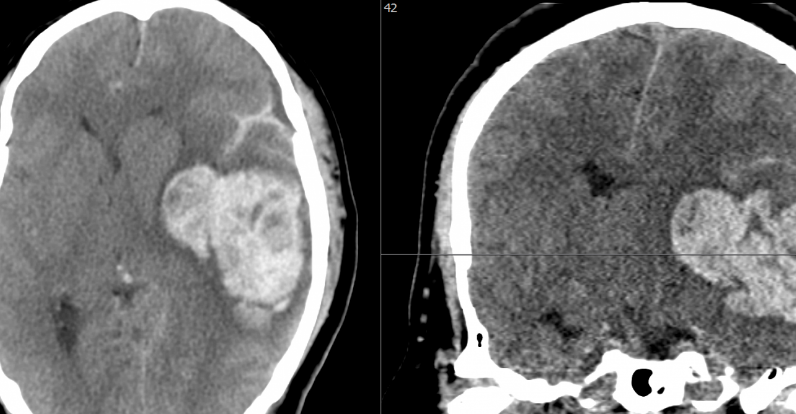
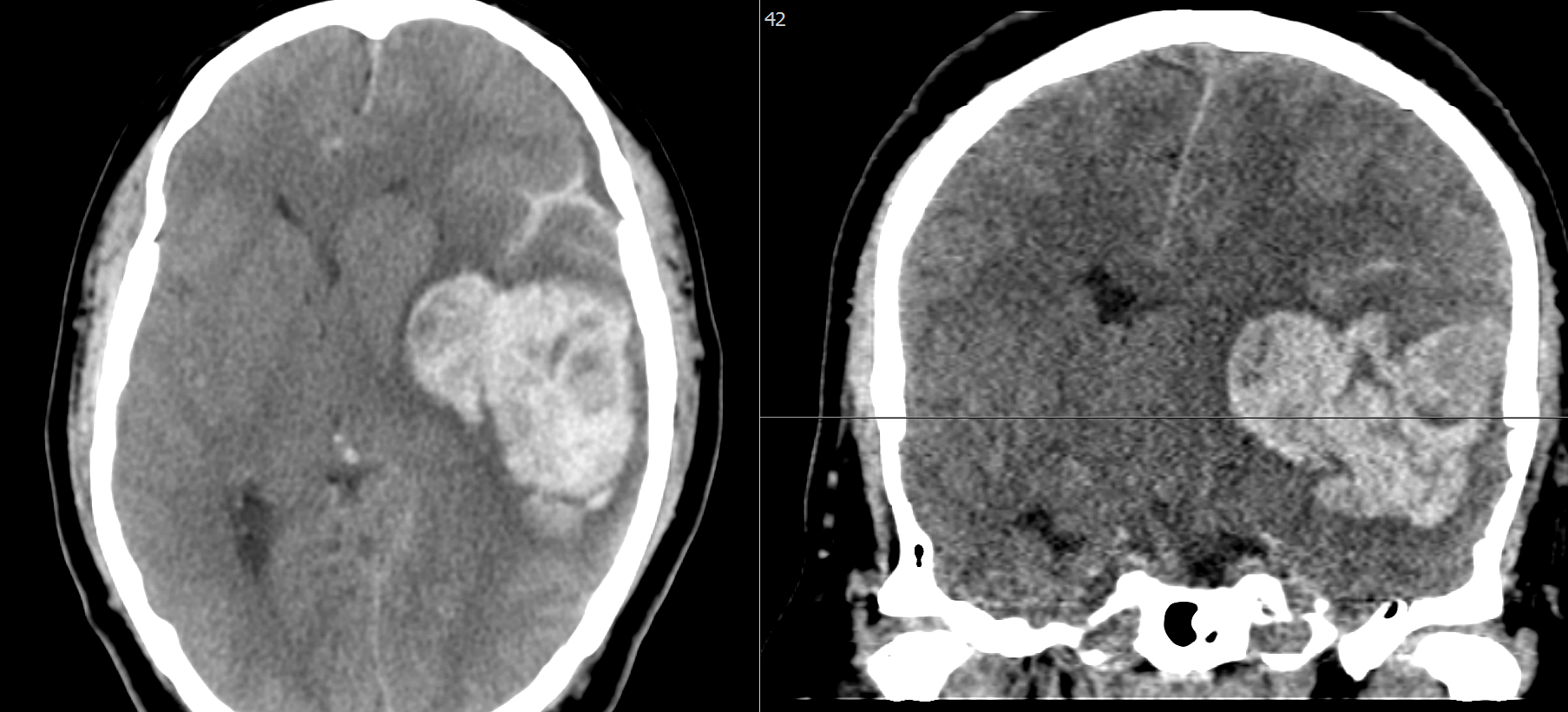
En TC realizado en la urgencia se observa hematoma intraparenquimatoso temporal izquierdo que desplaza 16 mm las estructuras de línea media y produce herniación uncal izquierda (imagen 1).
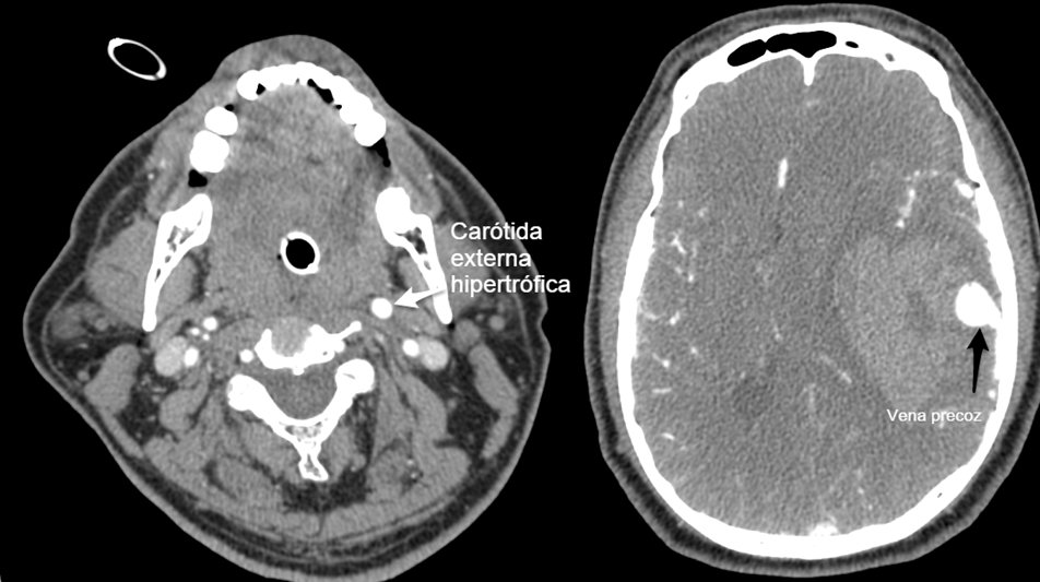
Se procede a realizar angioTC de troncos supraaórticos observando un drenaje venoso precoz de venas corticales temporales izquierdas y aumento de calibre de la arteria carótida externa izquierda, hallazgos compatibles con posible fístula dural (imagen 2).
Se realiza craniectomía frontoparietotemporal de manera urgente con drenaje del hematoma.
Procedimiento:
Arteriografía de arteria carótida externaizquierda y sus territorios.
Embolización de FAVD con técnica de olla express.
MEDICACIÓN:
- Anestesia general
- Premedicación con AAS 100mg/24h + Clopidogrel 75mg/24h
- Bolus de heparina sódica iv 8000 UI + 2000 UI (a los 60 min de iniciado procedimiento)
MATERIALES:
- Introductor corto 8F
- Catéter portador: Neuron MAX 6F 088 90 cm recto
- Catéter diagnóstico: Hinck 5F 100cm
- Guía: Terumo 0.035” 180cm
- Microcatéteres: Excelsior SL-10 (x2) 150 cm recto
- Microguías: Synchro-14 (x2) 200 cm
- Stent: Neuroform Atlas 3mm x 21mm
- Coils: Micrusphere XL (x5) desde 7mm x 14cm hasta 4mm x 8cm; Ultipaq 10 (x4) desde 3mm x 8cm hasta de 2mm x 3cm; y Deltaplush 10 Cerecyte (x2) de 1.5mm x 3cm
VÍA DE ABORDAJE: Punción femoral derecha e introductor corto 8F.
Se realiza arteriografía a las 12 horas del ingreso que muestra fístula arteriovenosa dural con aferencias arteriales de arteria occipital izquierda y drenaje a vena cortical temporal izquierda. Compatible con fístula dural Cognard tipo IV.
Podemos ver la visión lateral y AP en la figura 3:
Se decide proceder a realizar embolización de la fístula con la técnica de la olla Express para lo cual empleamos (Figura 4):
- Acceso femoral: Introductor corto 7F de Cordis.
- Catéter guía Fubuki de 7F con curva multipropósito de 90 cm navegando el extremo distal hasta el origen de la arteria occipital izquierda.
- Microcatéter Apollo de 165 cm con punta desprendible de 5 cm de longitud.
- Microcatéter Prowler 10 de 150 cm.
Posteriormente a través del Prowler 10 se procede a crear la oclusión proximal para permitir la olla Express, para lo que empleamos:
- Una cesta inicial con un coil GalaxyG3 12
- Posteriormente se rellena con 3 coils Target Helical Nano (Figura 5)
- En la última fase se procede a inyectar Gluebran que es detenido por los coils y forma un trombo distal a la marca de rotura del apollo.
Posteriormente a través del Prowler 10 se procede a crear la oclusión proximal para permitir la olla Express, para lo que empleamos:
- Una cesta inicial con un coil GalaxyG3 12
- Posteriormente se rellena con 3 coils Target Helical Nano (Figura 5)
- En la última fase se procede a inyectar Gluebran que es detenido por los coils y forma un trombo distal a la marca de rotura del apollo.
En series finales de control se observa cierre completo de la fístula (Figura 7)
Referencias bibliográficas:
- Cognard C, Gobin YP, Pierot L, et al. Cerebral dural arteriovenous fistulas: clinical and angiographic correlation with a revised classification of venous drainage. Radiology 1995;194:671–80.
- Chapot R, Stracke P, Velasco A, Nordmeyer H, Heddier M, Stauder M, Schooss P, Mosimann PJ.The pressure cooker technique for the treatment of brain AVMs.J Neuroradiol. 2014 Mar;41(1):87-91. doi: 10.1016/j.neurad.2013.10.001. Epub 2014 Jan