Caso Mayo 2018

Presentado por:

HSA ANEURISMATICA

ANTECEDENTES
Antecedentes personales: Mujer de 65 años sin alergias conocidas, fumadora de 1 paq/día (dosis acumulada de unos 50 paq-año), no otros hábitos tóxicos. Independiente para la vida diaria, jubilada, había trabajado como administrativa. No refiere antecedentes familiares de interés. ANTECEDENTES PATOLÓGICOS
1.- Hipertensión arterial en tratamiento farmacológico , refiere buen control habitual.
2.- Dislipidemia en tratamiento farmacológico.

QUIRÚRGICoS:
Colecistectomía.

MEDICACIÓN HABITUAL
Indapamida 1,5 m g/d
Lorazepam 1 mg/d
Simvastatina 40 mg/d.

PRESENTACIÓN CLÍNICA:
Cervicalgia.

Paciente refiere que mientras se duchaba esta mañana inicia cefalea en zona occipital de inicio súbito con mareos, nauseas y vómitos. Luego el dolor disminuye pero queda cervicalgia y leve mareos.

Exploración física

Paciente consciente,orientada.GSC 15.Pupilas isocóricas normorreactivas.Sin focalidad neurológica evidente.

El día 6/1/2015 a raíz de cefalea y cervicalgia con vómitos asociados se diagnosticó de hemorragia subaracnoidea HH 1 WFNS 1 Fm 3 aneurismática (2 aneurismas en espejo en comunicantes posteriores) que se trataron el 7/1/16 mediante embolización con coils (15 en derecho, 9 en izquierdo). A su llegada consciente y orientada, PINR, sin focalidad neurológica. Se inició nimodipino ev, levetiracetam y analgesia.

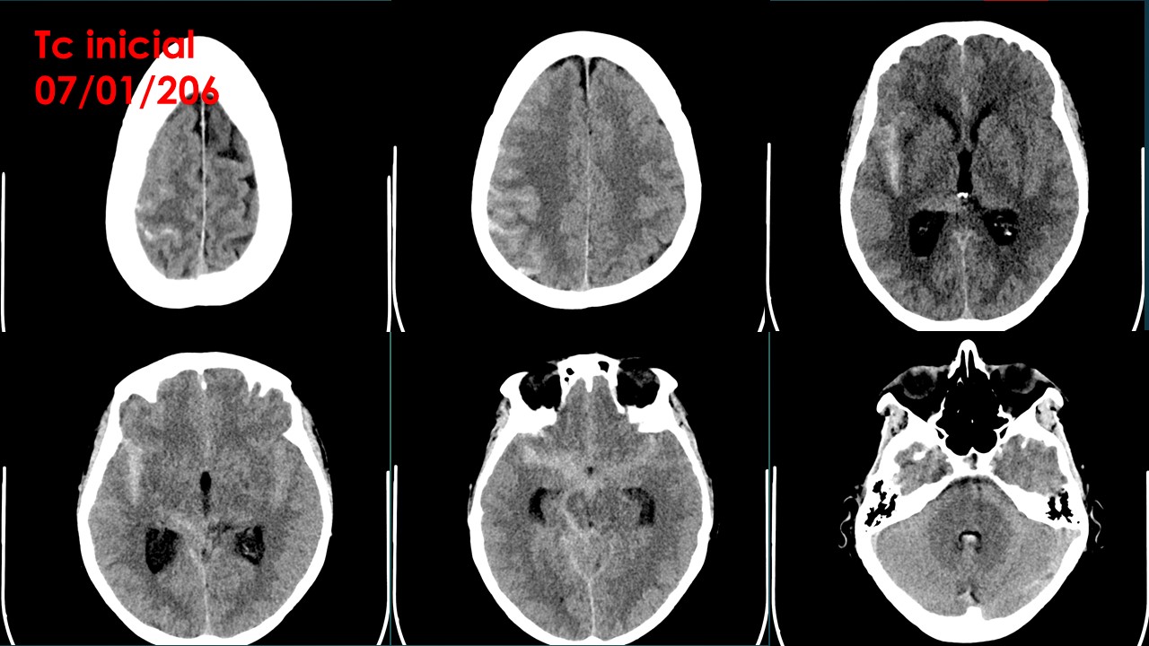
TC CRANEAL SIN CONTRASTE
Extensa hemorragia subaracnoidea aguda con afectación de las cisternas peritronculares, cisura Silviana bilateral, de predomino derecho y los surcos de la convexidad predominantemente derechos. Se asocia a contaminación hemática tetraventricular con leve aumento de tamaño del sistema ventricular.
Cisternas de la base y surcos bilaterales de predominio derecho ocupados en relación a edema cerebral.
Estructuras de la línea media centradas.

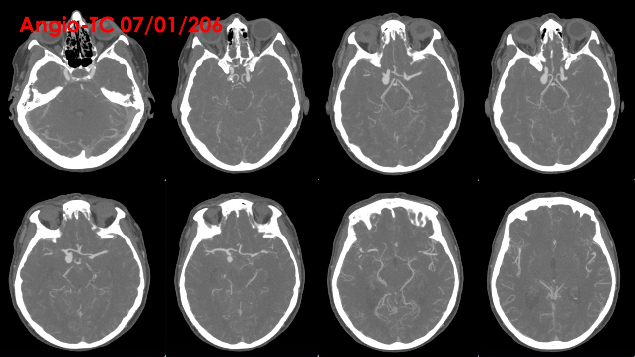
ANGIO TC:
Troncos supraorticos permeables, sin variantes anatómicas reseñables.
Origen fetal de ambas arterias cerebrales posteriores.
A nivel de la arteria carótida supraclinoidea derecha, entre la salida del ACoP (ACP) ipsilateral y la ACA derecha se observa una imagen de adición opacificada de aspecto nodular, de aproximadamente 11 mm x 8 mm, compatible con aneurisma, probablemente responsable de la hemorragia actual. A nivel de la arteria carótida supraclinoidea izquierda se observa otra imagen de características similares de 7 mm x 4.5 mm, compatible con aneurisma de dicha arteria.
No se visualizan otras dilataciones aneurismáticas a nivel intracraneal.
No se observan estenosis valorables en sistema arterial intra ni extracraneal.

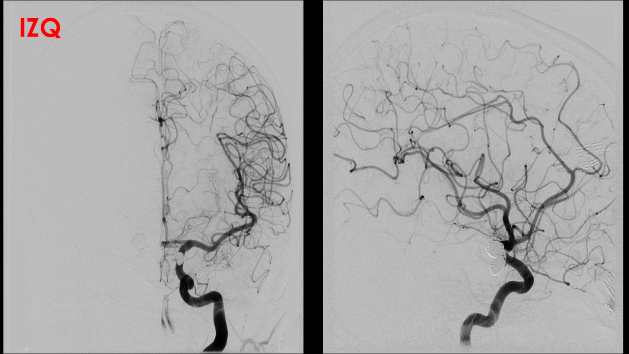
Técnica: Anestesia general. Heparinoterapia sistémica. Punción femoral bilateral.

Arterias exploradas: Arteria carótida interna derecha con proyecciones AP, Lateral, 3D y oblicuas Arteria

carótida interna izquierda con proyecciones AP, Lateral, 3D y oblicuas Arteria vertebral izquierda con

proyecciones AP, Lateral, 3D y oblicuas

Material utilizado: Neuron MAX 6Fr, Cateter Slipcat 5.5 Shuttle Simons 2 (carotida derecha), microcateter

Excelsior SL10, microguia Synchro 14, Guia Terumo.

Catéter Hinck para arteria vertebral izquierda (para control de ACP)

Balón Transform C Compliant 4x20mm

 

Coils utilizados:

ANEURISMA DERECHO:

1.- Target 360 SOFT 8mmx20cm.

2.- Target 360 SOFT 9mmx20cm.

3.- Target 360 SOFT 7mmx20cm.

4.- Target 360 SOFT 7mmx20cm.

5.- Target 360 STANDARD 7mmx15cm.

6.- Target 360 ULTRA 5mmx10cm.

7.- Target 360 SOFT 5mmx20cm.

 

8.- Target 360 STANDARD 4mmx15cm.

9.- Target 360 ULTRA 4mmx10cm.

10.- Target 360 SOFT 4mmx10cm.

11.- Target 360 SOFT 3mmx10cm.

12.- Target 360 STANDARD 3mmx6cm.

13.- Target 360 SOFT 3mmx10cm.

14.- Target 360 STANDARD 3mmx6cm.

15.- Target 360 HELICAL ULTRA 2mmx6cm.

IZQUIERDO

1.-Target 360 STANDARD 7mmx15cm.

2- Target 360 SOFT 6mmx10cm.

3- Target 360 SOFT 5mmx20cm.

4- Target 360 HELICAL NANO 2mmx4cm.

5- Target 360 NANO 2mmx4cm.

6- Target 360 HELICAL NANO 2mmx4cm.

7- Target 360 NANO 2mmx3cm.

8- Target 360 NANO 2mmx3cm.

9- Target 360 NANO 2mmx3cm.

Procedimiento: Se realiza estudio diagnóstico confirmando la presencia de dos aneurismas localizado en

origen de comunicantes posteriores:

El derecho de 11x9x8mm con cuello de 5.3mm de morfología polilobulada, en su componente inferior se

origina la comunicante posterior.

El izquierdo de 6.6×4.5×6 con cuello de 3.12, comprometiendo el origen de comunicante posterior.

Se realiza microcateterismo selectivo del saco aneurismático derecho, con protección de balón Transform,

el cual se ubica en carótida previo a la bifurcación, posteriormente se dispone en su interior un total de 15

coils. En la serie angiográfica de comprobación se identifica persistencia de mínimo saco residual con

permeabilidad de la comunicante.

En un segundo tiempo se realiza microcateterismo selectivo del saco aneurismático izquierdo, con

protección de balón Transform, el cual se ubica en carótida previo a la bifurcación, posteriormente se

dispone en su interior un total de 9 coils. En la serie angiográfica de comprobación se identifica

persistencia de mínimo saco residual y ausencia de permeabilidad de comunicante posterior, pero con

adecuada permeabilidad de ACPI desde basilar.

No se detectan incidencias durante ni inmediatamente tras el procedimiento.

El día 17/1/16 presenta hemiparesia izquierda de instauración brusca. A la valoración, con disartria leve,

hemiparesia facio (moderada)- braquiorcrural (1/5) izquierda, colaboración parcial, latencia de respuesta

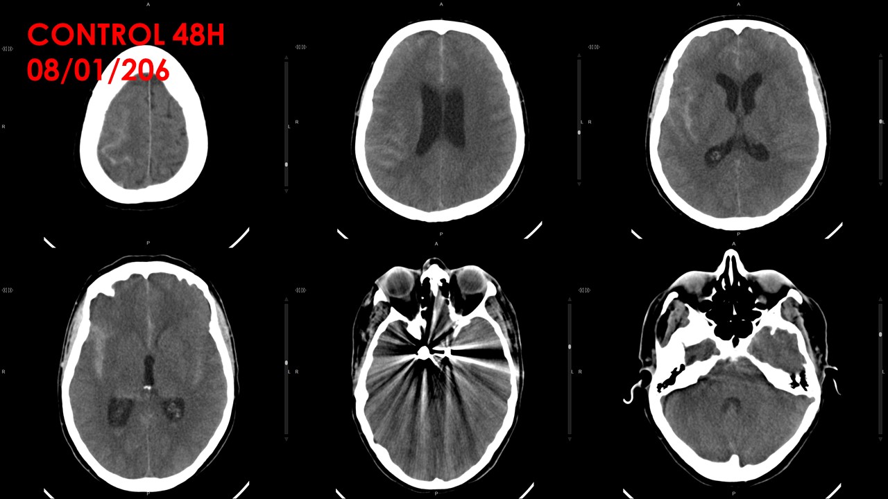
alargada, paresia EID 3/5 (colaboración parcial). Se realiza TC craneal urgente que muestra discreto

empeoramiento de hidrocefalia. Posterior al TC presenta mejoría clínica, persistiendo hemiparesia facio

(leve)-braquiocrural 4/5 izquierda, leve disartria (NIHSS 4). Se completa estudio con arteriografía en la que

se objetiva vasoespasmo moderado en ACAD (A2-3), ACMD distal (M3) y en ACAI (A1). Con estos hallazgos, se

administra tratamiento intraarterial con verapamilo bilateral. Se traslada a la Unidad de Ictus para vigilancia

clínica estrecha.

En la Unidad de ictus, normotensa y afebril, con cefalea moderada persistente, buena tolerancia oral, vigil y

orientada, con hemiparesia facio (leve)-braquiocrural (4+/5) izquierda (NIHSS: 1). Se realizan controles por

Doppler que muestran persistencia de vasoespasmo leve- moderado, con mejoría en ACMD. Continuará con

controles cada 24/48 horas para monitorización.

Dada la estabilidad observada, sin otras incidencias a destacar, se traslada a sala de hospitalización de

Neurocirugía, para completar observación.En sala de NRC evoluciona favorablemente sin complicaciones

asociadas. Controles sonograficos y tomográficos muestran estabilidad y resolucion del vasospasmo y

descartan otras alteraciones. Realiza rehabilitacion en sala. Deambula acompañada. Dada la estabilidad

clinica se decide alta domiciliaria.