Caso Febrero 2018

Presentado por:

PRESENTACIÓN CLÍNICA

PRESENTACIÓN CLÍNICA:
Hombre de 59 años, con antecedentes de hipertensión arterial y dislipemia en tratamiento médico con buen control.

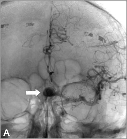
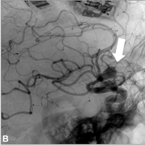
En 2017 sufrió traumatismo craneal leve en accidente de tráfico, motivando la realización de neuroimagen en la que se identificó un aneurisma de arteria comunicante anterior. Posteriormente se realizó arteriografía diagnóstica, confirmando la presencia de un aneurisma sacular polilobulado de arteria comunicante anterior, con diámetros aproximados de 13mm x 9 mm y cuello de 4 mm. Como variante de la normalidad, el paciente presenta además una duplicación del segmento A2 abarcando el trayecto pericalloso, evidente en las series angiográficas de arteria carótida interna izquierda, cuyo origen se encuentra en íntima relación con el cuello aneurismático, y que podría corresponder a una persistencia de la arteria mediana del cuerpo calloso (variante con una prevalencia de entre 3 y 6%1,2).

Estimando un riesgo de ruptura a los 5 años de 7% (según puntuación PHASES) se recomienda su tratamiento de exclusión, considerando como mejor opción inicial el tratamiento endovascular.

A, B: Series angiográficas en proyecciones AP y L de arteria carótida interna izquierda, observándose aneurisma de arteria comunicante anterior (flechas negras). C: Reconstrucción 3D. Nótese origen adyacente al cuello aneurismático y trayecto de arteria cerebral anterior accesoria (flechas blancas).

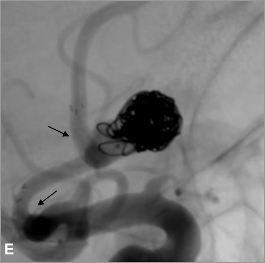
D, E, F: Tratamiento mediante “coiling”, inicialmente simple, posteriormente asistencia con stent mediante técnica “jailing” obteniendo compactación óptima de las espiras (las flechas negras indican las marcas radiopacas proximal y distal del stent; las flechas blancas muestran la permeabilidad de las arterias adyacentes al cuello aneurismático tras el tratamiento).

COMENTARIO

Ante la necesidad de implantación de stent se comenzó doble antiagregación una semana antes del tratamiento. Se inició el procedimiento mediante “coiling” simple, pero ante el riesgo de comprometer las arterias adyacentes se completó con “coiling” asistido con stent mediante la técnica “jailing”3, dejando el extremo distal del primer microcatéter en el interior del saco aneurismático interponiéndolo entre la malla del stent y la pared arterial. Tras desplegar el stent (Neuroform Atlas®) se completó el tratamiento, consiguiendo una compactación óptima de los “coils”, y evitando la protrusión de espiras que pudieran comprometer las ramas arteriales adyacentes, de especial interés en este caso.

RESULTADO

Se consiguió exclusión completa del aneurisma.

Referencias bibliográficas:

  1. Harrigan M, Deveikis J. Handbook of Cerebrovascular Disease and Neurointerventional Technique. 2nd Edition. Springer, 2013; p51.
  2. Uchino A, Nomiyama K, Takase Y, Kudo S. Anterior. Anterior cerebral artery variations detected by MR angiography. Neuroradiology. 2006 Sep; 8(9): 647-52
  3. Spiotta AM, Wheeler AM, Smithason S, Hui F, Moskowitz S. Comparison of techniques for stent assisted coil embolization of aneurysms. J Neurointerv Surg. 2012 Sep;4(5):339-44.