Aneurisma de la ACM tratado con dos balones de remodeling de doble luz con un único acceso arterial.
Aneurisma de la ACM tratado con dos balones de remodeling de doble luz con un único acceso arterial.

Eduardo Murias Quintana
José María Jiménez Pérez
Juan Chaviano Grajera
Pedro Vega Valdés
HOSPITAL UNIVERSITARIO CENTRAL DE ASTURIAS
NEURORRADIOLOGÍA INTERVENCIONISTA

La técnica de remodeling para el tratamiento de aneurismas cerebrales presenta varias ventajas con respecto al resto de dispositivos:
- Permite entender el cuello del aneurisma al hinchar los balones y por tanto elegir la proyección adecuada de trabajo.
- .Permite comprobar el comportamiento de los coils y adelantarse a posibles complicaciones tromboembólicas.
- Es la técnica que permite un mayor empaquetamiento de los aneurismas cerebrales.
- Ante una complicación hemorrágica permite ocluir el flujo arterial.
- No precisa la administración de antiagregantes.
Mujer de 69 años con aneurisma incidental en la ACM.
Los balones de doble luz tienen varias ventajas en el tratamiento de los aneurismas cerebrales:
- Permiten cambiar la curva de la guía durante la cateterización con facilidad y sin despurgar el dispositivo. Esto permite facilitar el cateterismo y el avance del balón y la guía en ramas distales.
- Permiten la implantación de un stent a través del dispositivo para completar el tratamiento de aneurismas de cuello ancho o si existen complicaciones tromboembólicas.
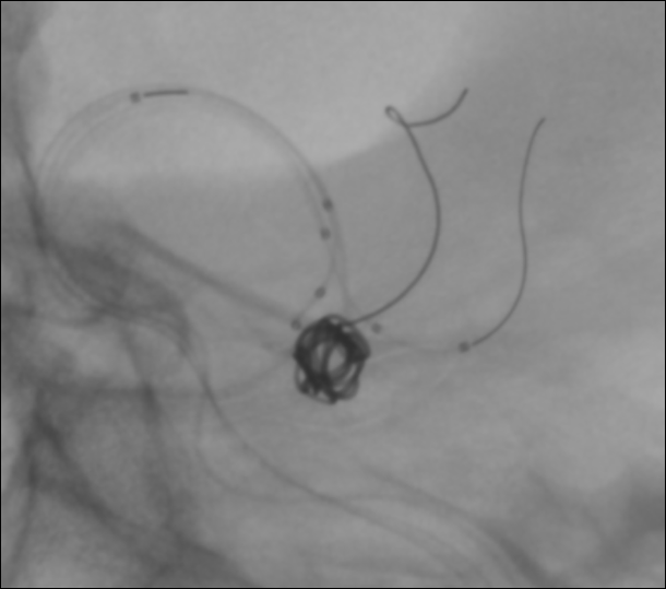
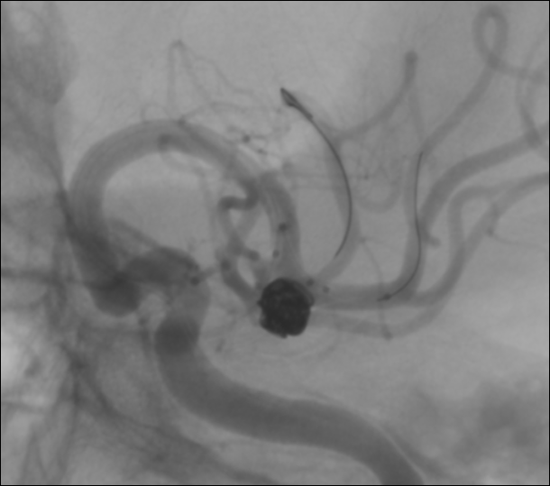
En este aneurisma se realizó la cateterización con dos balones de remodeling Eclipse 2L con microguías Traxcess y Ashahi .014, realizando dos cambios de curva para el cateterismo distal. El acceso proximal se realizó con un introductor largo Ballast .088 de 90cm que permite el uso de dos balones y un microcatéter para introducir los coils.
Con un buen posicionamiento de los balones se logró el cierre completo del aneurisma con seguridad y control garantizando la permeabilidad de las ramas. En este caso no se completó el tratamiento con stent por que la paciente debe someterse a una cirugía reciente.
Historia Clínica:
Mujer de 69 años con aneurisma incidental en la ACM.