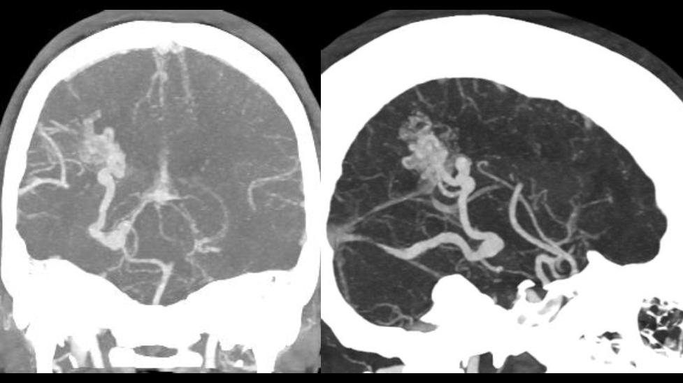
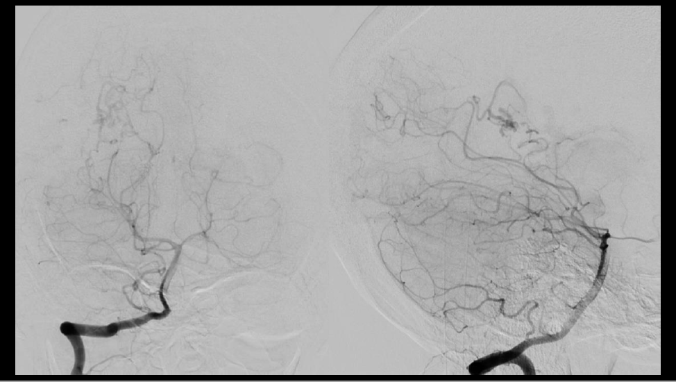
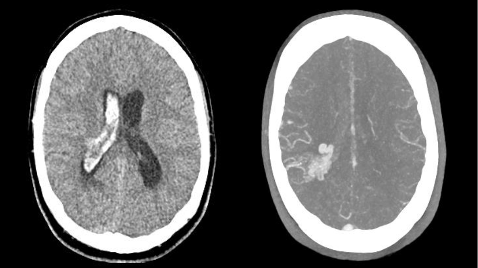
Tratamiento combinado de malformación arteriovenosa con sangrado reciente
Complejo Hospitalario Universitario de Vigo

Neurorradiología
Carlos Rodríguez
Oscar Vila
Ana María Rojas
Neurocirugía
Adolfo de la Lama
Pedro Vargas
Cesáreo Conde

Neurorradiología
Carlos Rodríguez
Oscar Vila
Ana María Rojas
Neurocirugía
Adolfo de la Lama
Pedro Vargas
Cesáreo Conde