Presentado por:
ICTUS EN TANDEM
PRESENTACIÓN CLINICA:
Varón de 77 años sin alergias medicamentosas conocidas. Ex-fumador sin otros hábitos tóxicos.
Independiente para las actividades de la vida diaria (mRS: 1).
Presenta de forma brusca debilidad de extremidades derechas y alteración del lenguaje, motivo por el cual avisan al SEN y es traído a nuestro centro como código ictus extramuros.
*ANTECEDENTES PATOLÓGICOS:
1. HIPERTENSIÓN ARTERIAL en tratamiento farmacológico.
2. DISLIPEMIA en tratamiento farmacológico.
3. CARDIOPATÍA ISQUÉMICA. Angina inestable en 1999 con colocación de stent en circunfleja derecha.
4. FIBRILACIÓN AURICULAR POST-REVASCULARIZACIÓN. Cardioversión eléctrica.
5. ICTUS ISQUÉMICO EN EL TERRITORIO DE LA ARTERIA CEREBRAL MEDIA IZQUIERDA tratado en el hospital Arnau de Vilanoca (Lleida), durante el cual se evidenció OCLUSIÓN DE LA ARTERIA CARÓTIDA INTERNA DERECHA Y ESTENOSIS DEL 60% DE LA ARTERIA CARÓTIDA INTERNA IZQUIERDA. Dado de alta asintomático y con tratamiento antiagregante.
6. CARCINOMA UROTELIAL DE VEJIGA tratado mediante resección transuretral.
7. VARICECTOMÍA.
*TRATAMIENTO HABITUAL: omeprazol 20 mg/24h; clopidogrel 75 mg/24h; atorvastatina 80 mg/24h;
paracetamol 1 g/12h; amorolfina tópica; atenolol 50 mg/24h; enalapril 5 mg/24h; tamsulosina 0.4 mg/24h.
TC CRANEAL MULTIMODAL:
TC CRANEAL BASAL:
No se observan signos de sangrado agudo intracraneal.
Hipodensidades corticosubcorticales frontales y en ínsula izquierdas sugestivas de infarto establecido. ASPECTS 6. Dudoso aumento de atenuación de la ACM izquierda. Estructuras de línea media centradas. Cisternas basales libres. Sistema ventricular de tamaño y morfologia conservados. Ausencia de neumatización del seno frontal derecho.
TC PERFUSION CEREBRAL
Mapas paramétricos: Se observa un marcado retraso en el TTP a nivel
frontoparietal izquierdo y en menor medida a nivel temporal izquierdo, asociando una alteración de los mapas CBV y CBF a nivel frontal izquierdo. Dichos hallazgos son sugestivos de afectación del territorio de la ACM izquierda y de la ACA izquierda, siendo el área de penumbra >200%.
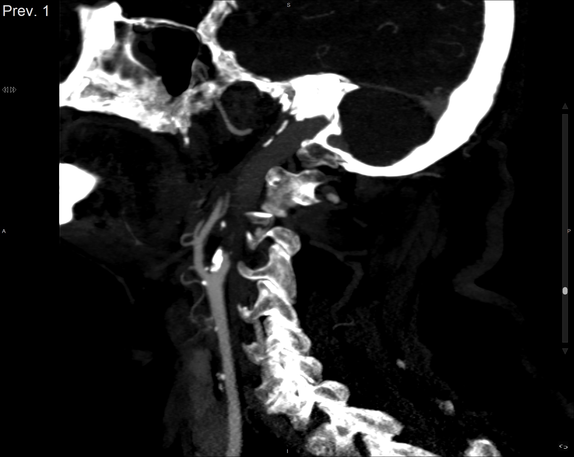
ANGIO-TC EXTRA E INTRACRANEAL:
Aorta y segmentos proximales de troncos supraaórticos permeables con signos de ateromatosis no estenosante. Origen y segmentos cervicales de ambas arterias carótidas internas con ateromatosis, causando una oclusión total de la derecha y una estenosis >80-90% de la izquierda. Origen y segmentos cervicales de las arterias vertebrales permeables con signos de ateromatosis no estenosante.
Segmentos intracavernoso y supraclinoideo de las arteria carotida interna derecha ocluido (no visible).
Segmentos intracavernoso y supraclinoideo de las arteria carotida interna izquierda ocluido (no visible).
Segmento M1 de la ACM izquierda con defecto de repleción ocupando su luz, presentando una
repermeabilización distal. Oclusion de la A2 izquierda con repermeabilizacion distal. Resto de las principales arterias cerebrales intracraneales (ACM derecha, ACPs, Basilar, V4s) permeables
TRATAMIENTO MECÁNICO DEL ICTUS:
Se realiza punción femoral derecha. Se realiza cateterización selectiva de la arteria carótida común izquierda derecha y la primera serie angiográfica pone de manifiesto una estenosis mayor del 80% secundario a placa irregular ulcerada en el origen de la ACID. Se atraviesa
estenosis y se realiza angioplastia con balón. Se avanza introductor largo hasta ACID y se realiza serie sectiva observando una oclusión a nivel del segmento carotida terminal en T. Se procede al microcateterismo selectivo de arteria ocluida logrando una adecuada posición para realizar trombectomía, realizando 1 pase. En la serie de comprobación final se confirma recanalización TICI 2b, quedando oclusión distal en ACA (A3). Se realiza nueva serie en carótida común observando persistencia de estenosis con una placa ulcerada e
irregular en el origen de ACID. Se coloca un filtro en ACI distal de protección y se decide colocación de 2 Stent en ACI proximal de 9×40 y un segundo Stent 7×40, con resultado posterior satisfactorio, sin estenosis significativa residual
Se decide colocación de STENT en carotida interna
Comparativa pre y postratamiento utilizando la herramienta IFLOW
Referencias bibliográficas:
- Management of tandem occlusions in acute ischemic stroke – intracranial versus extracranial first and extracranial stenting versus angioplasty alone: a systematic review and meta-analysis. J Neurointerv Surg. 2018 Aug;10(8):721-728. doi: 10.1136/neurintsurg-2017-013707. Epub 2018 Mar 9.
- Stent-Retriever Thrombectomy for Acute Anterior Ischemic Stroke with Tandem Occlusion: A Systematic Review and Meta-Analysis. Sivan-Hoffmann R1,2,3, Gory B4,5, Armoiry X6,7, Goyal M8, Riva R1, Labeyrie PE1, Lukaszewicz AC2,9,10, Lehot JJ2,9,10, Derex L11, Turjman F1,2. Eur Radiol. 2017 Jan;27(1):247-254. Epub 2016 Apr 16.