Caso Abril 2018

Presentado por:

ANTECEDENTES E HISTORIA PREVIA

Antecedentes personales: Hombre de 81 años, sin AMC ni hábitos tóxicos. es independiente para ABVD (mRS 0).

ANTECEDENTES PATOLÓGICOS:

  1. HIPERTENSIÓN ARTERIAL en tratamiento dietético.

No refiere otros antecedentes medicoquirúrgicos de interés.

** MEDICACIÓN HABITUAL: No toma.

PRESENTACIÓN CLÍNICA

El día 07/10/18 sobre las 19:10h es encontrado en domicilio en el suelo con cuadro de debilidad de

extremidades derechas. Última vez visto asintomático por su mujer a las 18:45h. Es valorado inicialmente en secundario, donde se objetiva mirada desviada a la izquierda, hemiplejia derecha y afasia global. Se realiza un TC craneal que descarta complicaciones hemorrágicas, y administran tratamiento fibrinolítico.

El paciente es remitido a nuestro centro para valorar tratamiento mecánico del ictus.

NRL: consciente, vigil, orientación no valorable. Mirada conjugada centrada con preferencia hacia la

izquierda y limitación a la excursión visual horizontal hacia la derecha, sin sobrepasar línea media. Reflejo  de amenaza asimétrico, derecho abolido e izquierdo presente. Hemiparesia facio (mod)- braquio (0/5)- crural (0/5) derecha. Hemihipoestesia táctil derecha grave. Dismetrías no valorables. Signo de Babinski derecho. NIHSS 23.

TC CEREBRAL MULTIMODAL: –

TC CRANEAL BASAL: Se visualiza discreta hipodensidad con pérdida de diferenciación corticosubcortical a nivel insular y lenticular izquierdo. ASPECTS 8. –

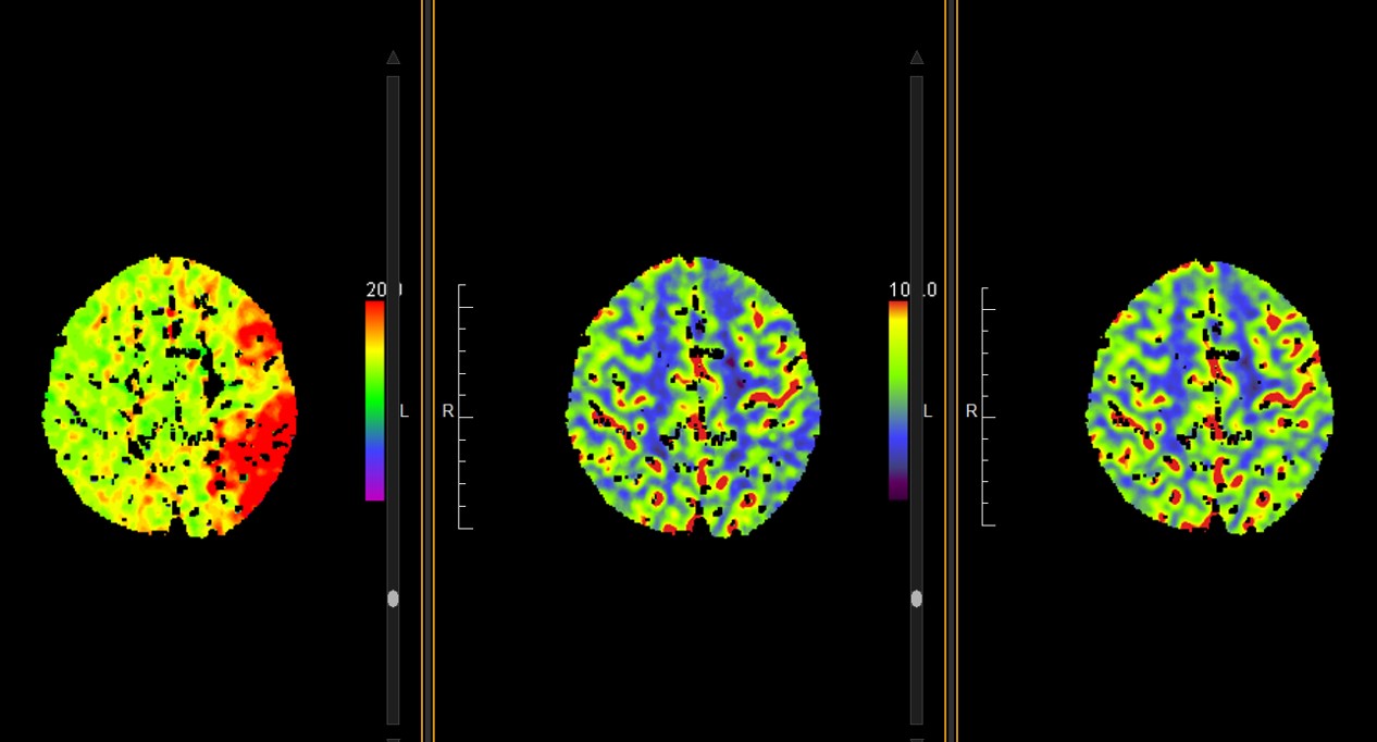
TC PERFUSIÓN: Se visualiza aumento del TTP a nivel frontoparietal, insular y lenticular izquierdos, con disminución del CBV y CBF de predominio insular y lenticular izquierdo. Hay discordancia significativa.

ANGIO-TC EXTRA E INTRACRANEAL: Aorta y segmentos proximales de troncos supraaórticos con leves signos de ateromatosis, permeables, sin estenosis secundarias.

TROMBECTOMIA MECANICA

TÉCNICA:

ANESTESIA UTILIZADA: Local

TIPO DE TROMBECTOMÍA: Stent

Incluido en estudio o registro: No Estudio /Registro:

MATERIAL UTILIZADO: Heparinoterapia sistémica – Dispositivo de trombectomía utilizado: Trevo 4 x 30 –

Catéter portador: Catéter FLOW GATE – Microcateter: TrevoPro

ARTERIAS EXPLORADAS: Arteria carótida interna izquierda con proyecciones AP, Lateral y oblicuas

TIEMPOS:

Punción femoral: 23:22

Primera serie: 23:36

Primer pase: 23:45

Ultima serie: 00:12

PROCEDIMIENTO Se realiza punción femoral derecha. Se realiza cateterización selectiva y la primera serie

angiográfica confirma la presencia de una oclusión a nivel de la bifurcacion superior de la ACM izquierda

estando unicamente abierta la arteria angular izquierda.

Se procede al microcateterismo selectivo de arteria ocluida logrando una adecuada posición para realizar trombectomía se realizando 1 pase. En la serie de comprobación final se confirma recanalización TICI 0 de la bifurcacion superior. Se procede al cateterismo selectivo de dicha arteria y durante el mismo y dado el movimiento del paciente se observa la perforacion de dicha rama en su segmento M2-M3 con extravasacion de contraste desde el microcateter. Se realizan series de comprobacion observandose la oclusion de dicha arteria y no se observa extravasacion del contraste. Dada la perforacion de la arteria y el estado del paciente se decide interrumpir el procedimiento sin recanalizar la arteria ocluida.

TC CEREBRAL: Hiperdensidad a nivel de ganglios de la base izquierdos que tras el postprocesado

desaparecen por lo que corresponde a extravasación de contraste. Hipodensidad de parénquima cerebral con pérdida de la diferenciación cortico subcortical a nivel de lóbulo frontal, insular y lenticular izquierdo. Todo ello compatible con área de isquemia en territorio de la arteria cerebral media izquierda. Todo ello esta condicionando una discreta compresión del asta anterior del ventrículo lateral izquierdo. No se observan signos de hidrocefalia. No se observan desplazamientos valorables de la línea media. Cisternas basales y peritronculares no colapsadas.

 

DISCUSIÓN

Evolución / Evolució

1.- ICTUS ISQUÉMICO AGUDO EN TERRITORIO DE ARTERIA CEREBRAL MEDIA IZQUIERDA (ACMI) 2.- OCLUSIÓN EN SEGMENTO M1 DISTAL DE ACMI – TEV.

A su llegada a nuestro centro se encuentra hemodinámicamente estable, febricular a 37.7ºC. En la exploración neurológica presenta un sdíndrome hemisférico izquierdo extenso, NIHSS 23 (sin cambios clínicos significativos a pesar de haberse completado la fibrinolisis). Se realiza analítica sanguínea que no muestra alteraciones, el ECG se encuentra en ritmo sinusal sin alteraciones de la repolarización. Se realiza un TC craneal multimodal en que se objetivan signos de isquemia incipiente a nivel insular izquierdo sin hemorragia (ASPECTS 9); en el angioTC se aprecia una oclusión en el segmento M1 distal de la ACMI; los mapas de perfusión muestran un retraso en el territorio cortical de la ACMI con caída de volumen frontal y mismatch  significativo. Se procede entonces a realizar arteriografía, que confirma la oclusión a nivel de la bifurcación superior de la ACM izquierda. Tras varios intentos infructuosos de repermeabilización, se produce la perforación arterial de un segmento M2-M3 debido al movimiento del paciente durante el procedimiento, por lo que se decide interrumpir el procedimiento en ese momento, cuando el paciente sigue presentando oclusión arterial completa. El TC dual de control no mostró complicaciones hemorrágicas a ese nivel. Tras el procedimiento, el paciente persiste neurológicamente sin cambios.

Se orienta como un ictus isquémico agudo en territorio de ACMI de etiología indeterminada, pendiente de completar estudio. Ingresa en la Unidad de ictus para monitorización.

Durante el ingreso el paciente se mantiene hemodinámicamente estable, sin cambios clínicos, de forma que persite síndrome hemisférico izquierdo extenso (NIHSS 25). Dada la estabilidad clínica se decide traslado del paciente a su centro de referencia.

** Al alta: – NIHSS: 25; – TOAST: Indeterminado (estudio incompleto). – mRS: 5.